
We invest in technology that improves the way we do dentistry and consequently better the health of our patients. We offer many leading technologies, it's tough to list them all. Here are just some of the available technologies;
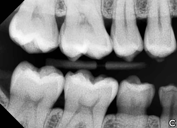
DIGITAL X-RAYS
(PANORAMIC DIGITAL X-RAY)
Digital x-rays offer improved imaging with less radiation to our patients than conventional x-rays. Digital x-rays have wider range of viewing options to catch problems earlier. Early detection usually means more conservative treatment and consequently better oral health. Being able to educate and explain problems with visual aid is a tremendous benefit to the patient and doctor alike.
DIGITAL INTRAORAL SCANNER
Scanner can capture the true representation of your dentition in a digital format as opposed to the conventional manual impression technique. This digitally captured image can be used in variety of way. The images can be used to fabricate crowns, bridges, partial dentures, bruxing appliances and more. Using digital workflow allows for an additional tool to improving patient care.
INTRA ORAL CAMERA
Our high resolution camera enables us to view and capture images of the inside of your mouth. Images are used to educate patients about treatment recommendations and show immediate and future concerns. Images are also a great tool to record and monitor tissue and tooth abnormalities. These records provide objective information about disease progress and need for treatment.
LASER DENTISTRY
Diode Laser is a revolutionary surgical tool that has many different uses in dentistry. Lasers help perform precise procedures allowing tissue modification while sealing off blood vessels and nerve endings preventing bleeding and reducing postoperative discomfort. Lasers are just another technology that allows our office to improve results and your oral health. Some procedures include;
Gingivectomy - is a procedure where we reshape excess tissue around your teeth to improved tooth proportion creating more aesthetically pleasing smile.
Frenectomy – is a procedure to remove unwanted attachments that can contribute to speech impediment, receding gums or diastema (excessive space between your front teeth). Removal of attachment in patients who are “tongue-tied” can cure their speech impediment.
ULTRASONIC HYGIENE
Ultrasonic debridement during your hygiene visit removes not only calculus but disrupts harmful bacteria biofilm with minimal-to-no damage to tooth roots. Ultrasonic instrumentation requires less time than manual instrumentation and provides benefits of irrigation (flushing) of bacterial bi-products to improve healing. The combination of ultrasonic therapy and traditional scaling technique is sure to improve and maintain your oral health.
Note: Ultrasonic scalers are not for every situation. They are not recommended for individuals with hypersensitive teeth. Please tell your dentist or hygienist if your teeth are sensitive to temperature change.
STERILIZATION CENTRE
We take pride in our Sterilization! Be assured that our office not only meets but exceeds all standards. Our equipment is tested to ensure that all instruments used are 100% safe!
MICROETCHING
Aluminum Oxide abrasion technology helps clean tooth structure and crowns (caps) to allow for optimal bonding during restorative procedures.